Top
Image Alt

Services

clear-aligner

Clear Aligners

A comfortable and nearly invisible way to straighten teeth using removable aligners that fit easily into your daily routine.
dental cleaning

Dental Cleaning & Preventive Care

Routine cleaning to remove plaque and tartar, helping maintain oral hygiene and prevent gum disease and tooth decay.
DENTAL IMPLANTS

Dental Implants

A long-term solution to replace missing teeth using reliable implant systems, restoring strength, comfort, and a natural-looking smile.
Complete Dentures

Dentures

Removable replacement for missing teeth designed for better comfort, improved function, and a natural appearance using modern techniques.
Digital-Xray-RVG

Digital Dental X-rays (RVG)

Digital imaging system that provides quick and accurate diagnosis with reduced radiation and easy sharing of reports.
Full Mouth Rehabilitation

Full Mouth Rehabilitation

A complete treatment plan to restore multiple damaged or missing teeth, improving function, comfort, and overall oral health.
periodontal surgery

Gum Care & Periodontal Treatment

Treatment for gum problems to control infection, prevent tooth loss, and maintain healthy supporting structures around the teeth.
night guard

Night Guards

Custom-made appliance to protect teeth from grinding during sleep, reducing wear, sensitivity, and jaw discomfort.
ORAL SURGERY

Oral Surgery & Wisdom Tooth Removal

Safe and planned surgical procedures including wisdom tooth removal, done comfortably with proper care and post-treatment guidance.
PEDIATRIC DENTISTRY

Pediatric Dentistry

Gentle dental care for children focused on prevention, early treatment, and creating a comfortable and positive dental experience.
root cana

Single Visit Root Canal Treatment

Efficient root canal treatment completed in fewer visits to relieve pain and save the natural tooth using modern techniques.
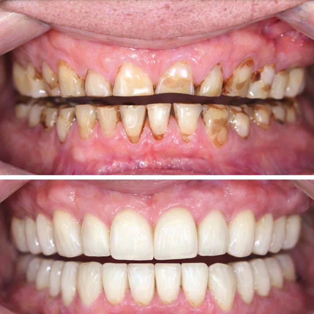
smile-design

Smile Design & Cosmetic Dentistry

Personalized smile improvements using simple and effective treatments to enhance appearance while keeping the results natural and balanced.
Teeth-whitening

Teeth Whitening

Safe and effective whitening treatments to remove stains and improve brightness using clinically proven systems and controlled procedures.
Tooth Coloured restorations

Tooth-Coloured Fillings

Natural-looking fillings used to treat cavities while preserving tooth structure and maintaining the original appearance of teeth.
ZIRCONIA.j

Zirconia Crowns & Bridges

Strong, natural-looking crowns made using high-quality zirconia and precise lab support for long-lasting and aesthetic restorations.
You don't have permission to register
WhatsApp Chat