Top
Full Mouth Rehabilitation

Full Mouth Rehabilitation

Full Mouth Rehabilitation

per person

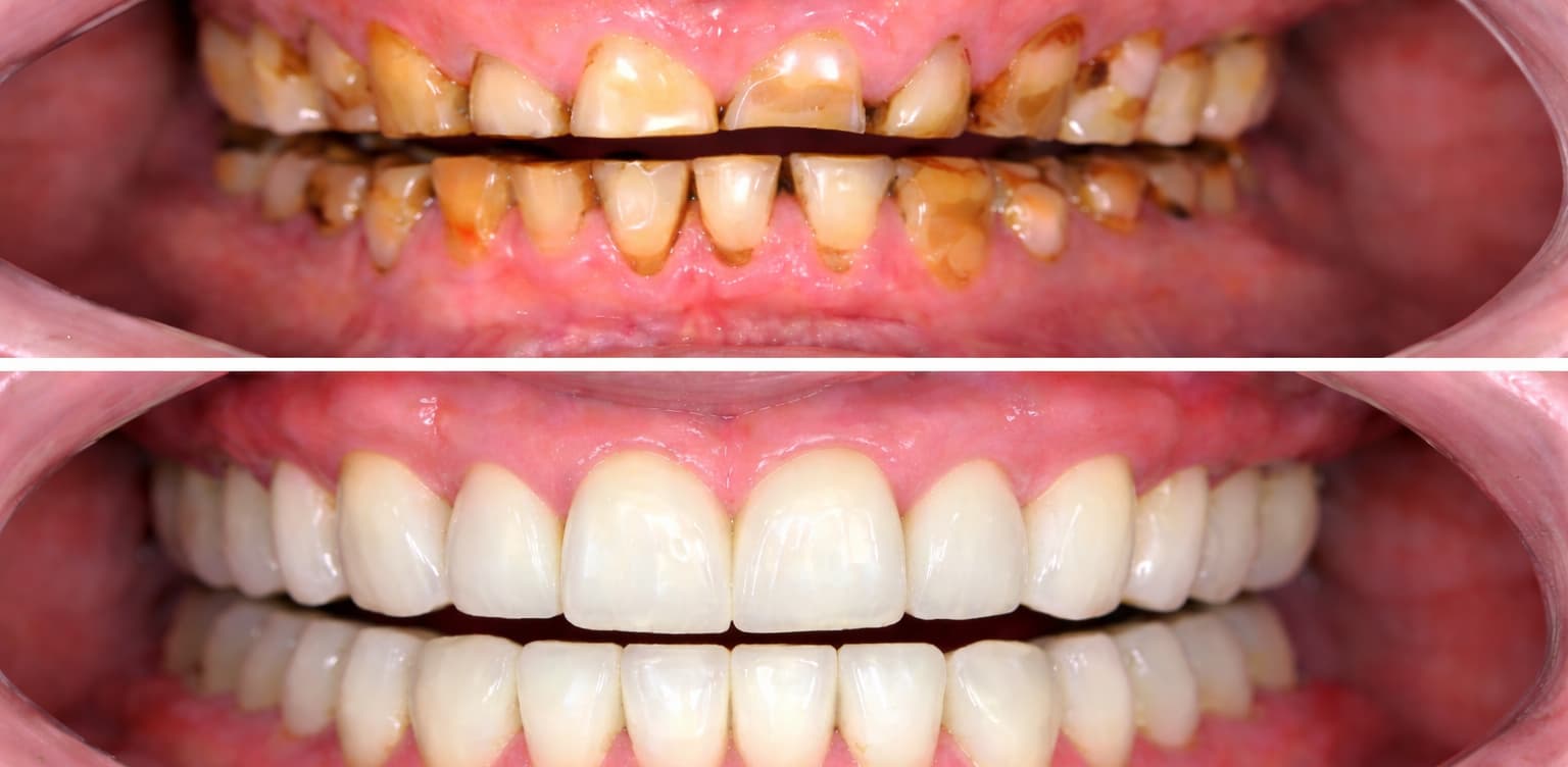
Some patients come with multiple dental issues — missing teeth, worn-out teeth, bite problems, or long-standing neglect. In such cases, treating each issue separately doesn’t give a stable long-term result. That’s where full mouth rehabilitation becomes important.

At our clinic, we take a step-by-step approach. We assess the entire mouth — teeth, gums, and bite — and create a structured plan that addresses everything together. This may involve implants, crowns, bridges, and bite correction.

We spend time explaining the plan clearly so that patients understand what to expect at each stage. The process may take time, but rushing through it is not advisable. The goal is to build something that lasts.

The outcome is not just cosmetic. It improves chewing efficiency, comfort, and overall oral health. For many patients, this treatment significantly improves quality of life.

0 Reviews

Tour Location

0.0

Overall 0

Post a Comment

You don't have permission to register
WhatsApp Chat